Në Avicena KS, pacientët kanë mundësi të krye...
Gjëndra tiroide është një organ i vogël në q...
Hipotiroidizmi – ndodh kur gjëndra prodhon më ...
Përveç analizave standarde të hormoneve TSH, T3...
Në Avicena KS, kujdesi për shëndetin e tiroides...
Pika e Avicena KS ndodhet në një lokacion strate...
Sipas dr. Miranda Hoti, trombofilia është një ...
Vitamina D është një nga vitaminat më të rën...
Vitamina D ndihmon në rregullimin e prodhimit të...
Si ta parandalojmë uljen e Vitaminës D? Vitamina...
Trombofilia është një gjendje e trashëguar ose...
Trombofilia është një gjendje që ndikon në af...
Trombofilia është një gjendje ku gjaku ka prirj...
Në një intervistë për Avicena KS, Dr. Salih Ad...
Kur bëhet fjalë për shëndetin, siguria dhe bes...
Analizat e gjakut janë ndër testet më të zakon...
Kujdes shëndetësor modern, afër jush – pa str...
Kontrollohu, testohu dhe vazhdo të rrezatosh kët...
Vizita neurologjike FALAS me Dr. Syzana Aliçkaj. ...
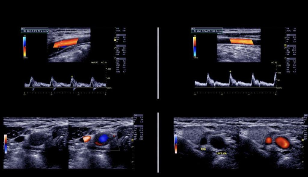
Hapat e ekzaminimit: Përgatitja: Pacienti sht...
Në Avicena KS, besojmë se kujdesi për trurin ë...
Rr. Adem Ukëhaxhaj. Me përkushtimin për të of...
A e keni vërejtur ndonjëherë që disa sëmundje...
Transformoni buzëqeshjen tuaj me kurora të zirko...
Shumë e nënvlerësojnë një dhëmb të prishur ...
Në Avicena KS përdorim materialet më të mira p...
Në Avicena KS, misioni ynë është të ofrojmë ...
Klinika jonë dentare – Avicenaks, Departamenti ...
Në një bisedë të sinqertë me Dr. Albert Hasin...
Temperaturat po rriten, energjia po bjen, e trupi ...
Studimet klinike tregojnë se 70% e diagnozave ven...
Kush është mjeku familjar? Mjeku familjar ësht...
Në një prononcim për Avicena KS, Dr. Adnan Ço...
Avicena KS tashmë është edhe më afër qytetar...
Shëndeti i mirë nuk duhet të merret si i mirëq...
Në Avicena KS, besojmë se mjeku familjar është...
